
☑️Редкая причина механической желтухи.
☑️Печёночный сосальщик (печёночная двуустка)-вид плоских червей, трематод, возбудитель фасциолёза человека, а также паразит парнокопытных. Имеет листовидную форму. В среднем длина составляет до 30 мм, ширина до 12 мм.
📌Окончательные хозяева Fasciola hepatica-парнокопытные, чаще всего овцы, козы и коровы. Человек также может быть окончательным хозяином.
📌Яйца двуусток Fasciola hepatica выделяются во внешнюю среду с фекалиями млекопитающих. При попадании их в воду или во влажную почву через 4-6 недель развиваются личинки — мерацидии. В воде мерацидии покидают яйца и внедряются в промежуточных хозяев — прудовиков, где превращаются в церкариев. Церкарии превращаются в воде в адолескариев. Заражение животных происходит при заглатывании адолескариев с водой или поедании растущих в водоемах со стоячей и медленно текущей водой трав.
📸Жизненный цикл гельминта представлен на последнем фото.
💧 Человек заражается фасциолами при употреблении в пищу водных растений или при питье воды загрязнённой личинками двуустки.
📌Фасциолёз наиболее широко распространён в странах Азии, Африки и Южной Америки, на Кавказе и в Средней Азии.
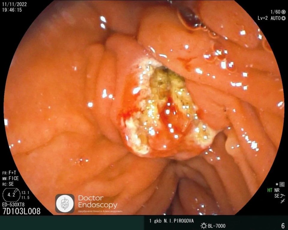
☑️ К нам в стационар поступил пациент с клиникой механической желтухи. На УЗИ конкременты не определялись, однако билирубин рос, и было принято решение выполнить ЭРХПГ.
🩻 На холангиограмме в интрапанкреатической части холедоха отмечено небольшое сужение. Была заподозрена опухоль головки поджелудочной железы. Но чтобы исключить мелкие конкременты была выполнена ревизия холедоха корзиной Дормиа. И при извлечении корзинки из протоков был низведён гельминт, который и явился причиной механической желтухи. Если у вас установлено приложение,
вы можете сразу перейти в канал