Русская радиология - Цориев Андрей Эльдарович
@russrad
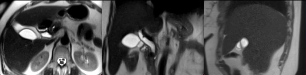
Фото Просто хочу напомнить, что аномалии жёлчного пузыря хоть и крайне редко, но встречаются: держите очередную - перегородчатый жёлчный пузырь. Бывает одна, бывает две, бывает несколько перегородок. Бывает продольная, бывает поперечная, бывает кривая, как здесь. Обычно не имеет клинического значения, некоторые утверждают, что там камни и воспаление легче возникают, но здесь ничего нет. Кстати, на Т1 даже видно, что во всех просветах пузыря есть нормальное изменение структуры жёлчи спереди назад, по типу градиента интенсивности. Что говорит о сохранённой нормальной функции пузыря.
Если у вас установлено приложение,
вы можете сразу перейти в канал