Русская радиология - Цориев Андрей Эльдарович
@russrad
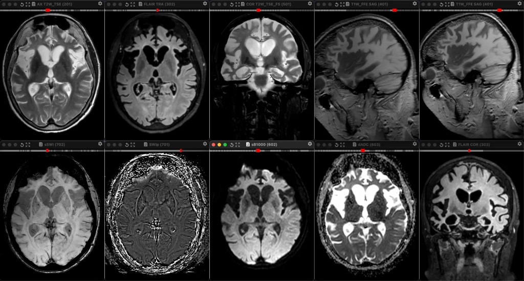
Фото девушка 65 лет. Болезнь Пика классическая (даже без знания клиники) - фронтотемпоральная дегенерация: выраженная, асимметричная, как обычно и бывает, атрофия лобных и височных долей. Перестала вообще говорить, на контако не выходит. Грубая деменция.
Если у вас установлено приложение,
вы можете сразу перейти в канал