Русская радиология - Цориев Андрей Эльдарович
@russrad
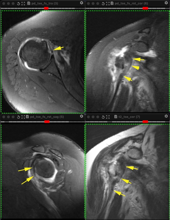
Фото Из-за отрыва сухожилия подлопаточной мышцы вывихнулось медиально сухожилие длинной головки бицепса. Сухожилие подлопаточной мышцы является одновременно удерживателем длинной головки бицепса в межбугорковой борозде, вплетаясь в малый бугорок плеча и как бы продолжаясь в поперечную связку (связку Броди), которую некоторые считают не истинной связкой, а частью сухожилия надостной мышцы.
Если у вас установлено приложение,
вы можете сразу перейти в канал