Русская радиология - Цориев Андрей Эльдарович
@russrad
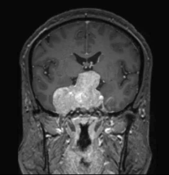
Фото Снеговики бывают разные, но смысл симптома при аденоме гипофиза от этого не меняется: когда опухоль растёт вверх, она протискивается черезу дуральную селлярную диафрагму и в этом месте на ней явственно определяется поясок. Это, как утверждается, достаточно надёжный дифференциально диагностический признак (точность порядка 94-96%) именно аденомы гипофиза, а не какой-то другой опухоли данного расположения.
Если у вас установлено приложение,
вы можете сразу перейти в канал