Русская радиология - Цориев Андрей Эльдарович
@russrad
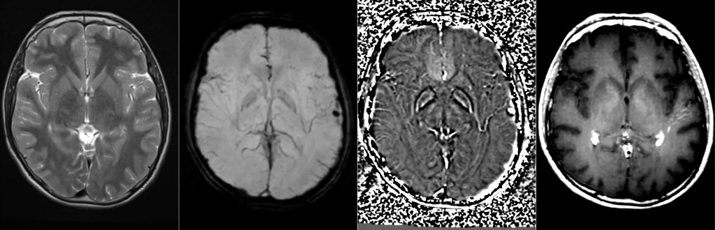
Фото Клинический случай кавернозной мальформации, ассоциированной с венозной аномалией развития (ВАР). Следует напомнить, что ВАР часто сочетаются с каверномами, однако точные статистические данные не привожу, чтобы простимулировать самостоятельный поиск информации и закрепление знаний. Клиническая симптоматика у данного пациента отсутствует, что является типичным сценарием для подобных находок. Диагноз установлен случайно.
Если у вас установлено приложение,
вы можете сразу перейти в канал