Русская радиология - Цориев Андрей Эльдарович
@russrad
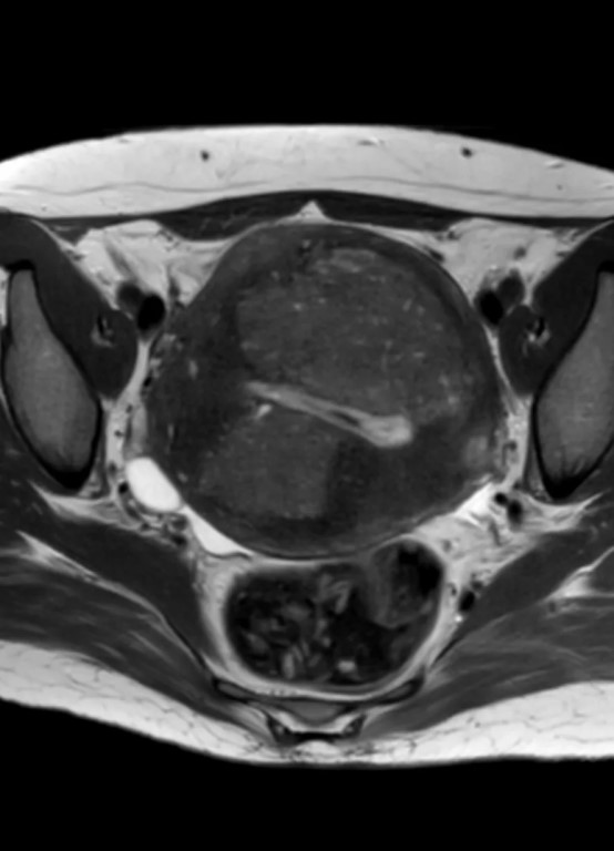
Фото Очень интересные проявления на #МРТ в матке: видно, что имеется выраженный, диффузный #аденомиоз, но какие-то узловые включения, ограничивающие диффузию и практически не накапливающие контраст. Это – результат перкутанной эмболизации, думали, что #миомы матки. Пациентка страдала маточным кровотечением. Развившиеся после процедуры участки некроза в стенках матки находятся в состоянии цитотоксического отёка и не накапливают контраст. Без знания анамнеза угадать, что это, практически, невозможно, особенно при отсутствии соответствующего опыта. Снимки и прислали с вопросом: это что такое злое в матке, но не накапливает контраст? Хорошо, что анамнез сообщили. Запись на весенние очные курсы по МРТ
Если у вас установлено приложение,
вы можете сразу перейти в канал